打开细胞膜,可以将蛋白质疫苗的产量提高五倍!
图片:有了新的iVAX生物制造平台,医疗保健专业人员可以简单地将水添加到含有冻干疫苗成分的试管中。美国西北大学(Northwestern Universi
图片:有了新的iVAX生物制造平台,医疗保健专业人员可以简单地将水添加到含有冻干疫苗成分的试管中。美国西北大学(Northwestern Universi
图片:雌性老鼠大脑中的某些神经元在生殖周期中改变了它们的结构,在接受阶段变得更加复杂。资料来源:Champalimaud未知中心-利马实验室(数据);?迪
DNA复制和修复涉及三种不同的DNA连接酶:连接酶I (LIG1),连接酶III (LIG3)和连接酶IV (LIG4)。LIG3是这三种酶中唯一存在于线粒体中
大约一年前,人们就知道水貂会感染SARS-CoV-2。该病毒已由人类传染给养殖的水貂,并在受感染的动物身上发生了变异。刺突蛋白发生了突变,它...
在布基纳法索,社区卫生工作者分发旨在预防季节性疟疾的药品。最近一项成功的临床试验燃起了研制出对抗这种疾病的疫苗的希望。LYMpIA DE MAISMONT
最近在小鼠身上测试的一种小的、光激活的分子代表了一种新的方法来消除阿尔茨海默病患者大脑中发现的淀粉样蛋白团。如果在人类身上得到完善...
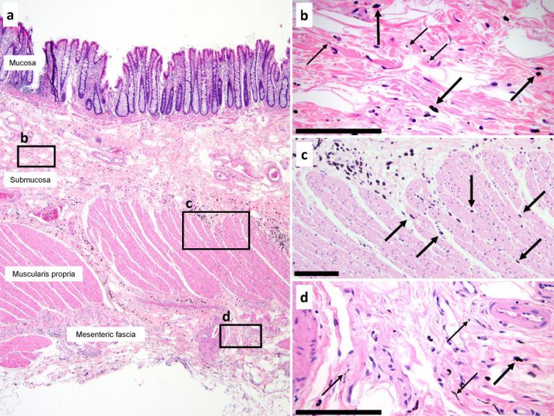
新研究显示了结肠癌患者结肠组织和肠系膜的不同层的存在。B、C、D为a中对应框的放大图,粗箭头表示巨噬细胞,细箭头表示间隙内。O Cenaj et al , “
近日,南方科技大学医学院副教授胡海亮课题组与美国杜克大学(Duke University)医学院病理系教授黄教悌课题组合作在国际顶级学术期刊pNAS...
根据宾夕法尼亚大学免疫学研究所的一项新研究,COVID-19患者在第一次mRNA疫苗接种后出现了强劲的抗体反应,但在第二次接种后几乎没有免疫效...
脂滴是细胞内脂质贮存的主要场所,在细胞代谢和应激响应中发挥了重要的作用。真核细胞中的脂滴新生与内质网密切相关。中性脂在内质网膜内合...
喝太多酒导致的口齿不清、协调性差和镇静作用实际上可能是由于大脑中产生的酒精产物的分解,而不是科学家们目前认为的酒精在肝脏中的分解产...
加利福尼亚州拉霍亚市——一些埃博拉病毒爆发的幸存者产生了可以广泛中和这些病毒的抗体——现在,斯克里普斯研究中心的科学家已经阐明了这...