Nature Methods:绘制单细胞代谢图谱的新方法
来自欧洲分子生物学实验室(EMBL)和德国癌症研究中心(DKFZ)的科学家近日在《Nature Methods》上发表文章,提出了一种绘制单细胞代谢图谱的新方法
来自欧洲分子生物学实验室(EMBL)和德国癌症研究中心(DKFZ)的科学家近日在《Nature Methods》上发表文章,提出了一种绘制单细胞代谢图谱的新方法
剑桥大学的科学家已经确定了200种预计对COVID-19有效的获批药物,其中有40种正在进行COVID-19临床试验。发表在《Science Advances》
墨尔本研究人员发现了一种在严重病毒感染面前改善免疫反应的方法。众所周知,严重的病毒感染和癌症会导致免疫系统受损,包括T细胞,这一过...
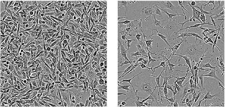
图像:左侧显示三阴性乳腺癌细胞。没有RNA结合蛋白YTHDF2(右),存活的癌细胞更少。来源:加州大学圣地亚哥分校健康科学学院在癌症研究...
CRISpR-Cas9最初被发现是一种细菌防御病毒入侵的模式,其对DNA特定位置的修饰能力令人瞩目,使其成为基因编辑工具中研究人员的最爱。正在进...
主办单位广州正和会展服务有限公司上海市生物医药行业协会协办单位上海癌症康复俱乐部官网http: www ctae cn 一、会议介绍全球在研新药年复合增速达8
中枢神经系统的细胞具有高度的灵活性,这使它们能够适应波动的需求,并对不断变化的神经元活动模式作出反应。这是通过调节神经细胞之间的连...
朗格汉斯细胞组织细胞增生症(LCH)是一种罕见的癌症,主要表现为致病性朗格汉斯细胞的克隆性增生及细胞因子过量产生,导致不同器官发生炎...
生命学院贾顺姬副研究员合作发文揭示高尔基体来源小泡调控内吞体分裂2021-06-29 12:49:55内吞体,作为细胞内囊泡转运的关键成员,可通过分...
近日,中国科学院南海海洋研究所王友绍教授联合广东以色列理工学院顾继东教授,首次在国际上提出了红树林湿地生态系统对全球气候变化和人类...
图像:亨廷顿病小鼠大脑的显微镜图像。资料来源:Dr J Botas eLife, 2021年大脑不是受伤或疾病的被动接受者。研究表明,当神经元死亡并扰乱
来自南安普顿大学抗体和疫苗组的科学家们获得了关于肿瘤坏死因子受体(TNFR)是如何被激活的一类重要免疫受体的新见解。这项研究发表在《Communicati