中科院学者最新发布Nature文章:首次揭示m6A甲基化修饰的新作用
来自中科院动物研究所,北京基因组研究所的研究人员发表了题为“m6A modulates haematopoietic stem and progenitor c
来自中科院动物研究所,北京基因组研究所的研究人员发表了题为“m6A modulates haematopoietic stem and progenitor c
基因组中同义密码子的使用频率存在差异,这一现象被称为密码子使用偏好。基因表达水平与密码子使用偏好之间的正相关关系已被广泛报道。传统...
来自清华大学生科院,清华-北大生命科学联合中心的研究人员发表了题为“The R-loop is a common chromatin feature of th
生命个体为什么会衰老?不同生物为什么衰老的速度不同?这是人类有思考以来不能回避的问题。佛曰人生苦,衰老七之二;庄子感夏虫,今生不语...
Journal of Biological chemistry通常简称为JBC,中文译名为《生物化学杂志》或《生物化学期刊》,这一杂志创刊于1905年,自192
——“自取样HpV检测及宫颈癌防治学术论坛暨都安全医疗自取样方案发布会”在深召开 (2017年8月15日,深圳)由深圳市女医师协会妇产科专业...
2017年8月7日,国际著名肿瘤杂志《International Journal of Cancer》(2016-IF: 6 513)以题为“Structura
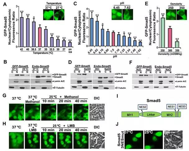
来自同济大学附属第十人民医院、同济大学医学院的研究人员发表了题为“Smad5 acts as an intracellular pH messenger and
2017年7月27日,美国Fluidigm公司和广东腾飞基因科技股份有限公司(以下简称腾飞基因)宣布达成战略合作关系,共同开发基于微流控技术的分...
2017年7月26日,来自华大基因、哥本哈根大学、奥胡斯大学和丹麦科技大学等机构的研究人员,在各方紧密合作下,共同完成了丹麦人泛基因组项...
7月17日,《自然细胞生物学》(Nature Cell Biology)在线发表了中国科学院生物化学与细胞生物学研究所周波研究组和美国德州大学西南医学中心Sea
来自浙江大学求是高等研究院和医学院神经科学研究中心,中科院上海生命科学研究所等处的研究人员发表了题为“History of winning remodels t