《Science》被忽视的影响肿瘤转移的关键因素:物理排列
细胞迁移对组织发育、免疫反应和整体健康至关重要,为了更好地理解这一现象,由加州大学圣巴巴拉分校教授Denise Montell领导的一个生物学...
细胞迁移对组织发育、免疫反应和整体健康至关重要,为了更好地理解这一现象,由加州大学圣巴巴拉分校教授Denise Montell领导的一个生物学...
近期,复旦大学附属肿瘤医院乳腺外科连续获得三项研究突破:绘制最大规模的中国人群乳腺癌基因突变图谱,探索国人乳腺癌精准治疗靶点并在临...
近日发表在《Stem Cells》杂志上的一项研究解开了一个长期围绕间充质干细胞的谜团,那就是为什么在清除间充质干细胞之后,它还能继续抑制...
一组研究人员发现,在神经系统中发现的一种蛋白可以预测中风患者脑损伤的严重程度和长期转归。他们对464名不同类型中风患者的数据分析可能...
北京时间2020年11月12日凌晨0时,华大基因研究院、昆明动物研究所张国捷课题组联合合作者在Nature上以封面文章形式同期发表了两篇文章,报...
科学家们开发出一种光学弹性成像技术,它可以彻底提高专业人员检测细胞和组织生物力学变化的准确性和简便性。科学家采用了一种创新的生物光...
新冠肺炎疫情给世界各国造成了重大经济和生命财产损失,新冠病毒的未来演化趋势如何?病毒的致病能力将如何变化?这些一直是公众关注的问题...
LUNA细胞计数仪又获奖啦!恭喜LUNA细胞计数仪家族继2019年荣获SelectScience®质量奖章金奖后,又于2020年荣获铂金奖!!!Sele
1851年,德国医生Carl Wunderlich在收集了25,000人的腋下体温数据后,将37 0°C设定为人体正常体温,而且一直延续到现在。近两个世纪以来,
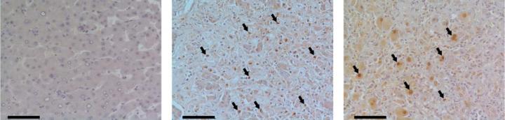
急性肝衰竭是一种破坏性的、进展迅速的疾病,80%的病例会导致死亡,唯一办法是进行紧急肝移植。在发达国家,其主要原因是大量过量服用对乙...
由新型冠状病毒(SARS-CoV-2)感染引起的COVID-19大流行已导致全球100多万人死亡。多项研究表明,SARS-CoV-2诱导的过度炎症反应与急性肺损
肿瘤微环境是由肿瘤组织中的各种非上皮细胞以及胞外基质共同组成的,其中非上皮细胞主要包括肿瘤浸润的各种免疫细胞、成纤维细胞以及血管内...